MINISH Veneers in Korea
Incredibly Thin, Impossibly Strong
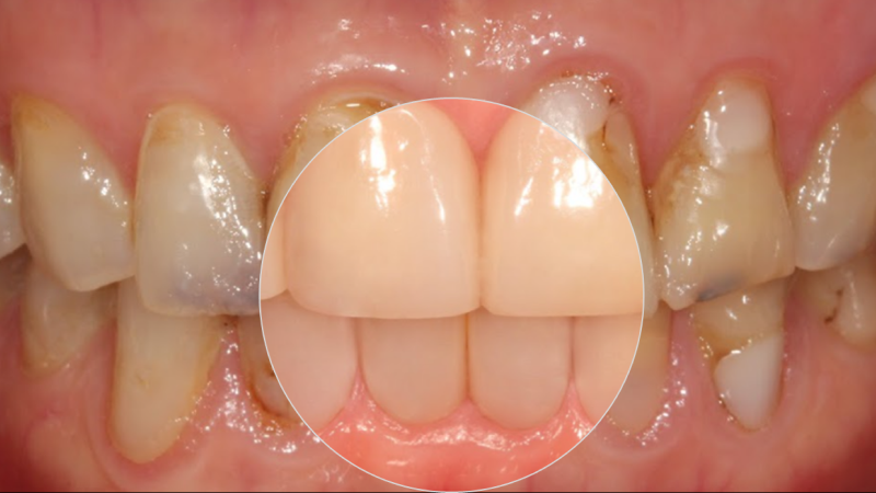
MINISH Veneers are the ideal solution for those who want a minimally invasive and long-lasting option to improve their smiles. With our state-of-the-art process, we fill the damaged part of the tooth with materials that emulate the shape and properties of the original tooth. This restores the function and aesthetics of the damaged teeth and gums.

What Are MINISH Veneers?
MINISH Veneers are not laminate veneers.
MINISH Veneers are meticulously crafted using exclusive MINISH blocks based on ceramic, which possess properties closely resembling natural teeth in terms of color, texture, biocompatibility, and light transmittance, ensuring the most natural and similar appearance to natural teeth.
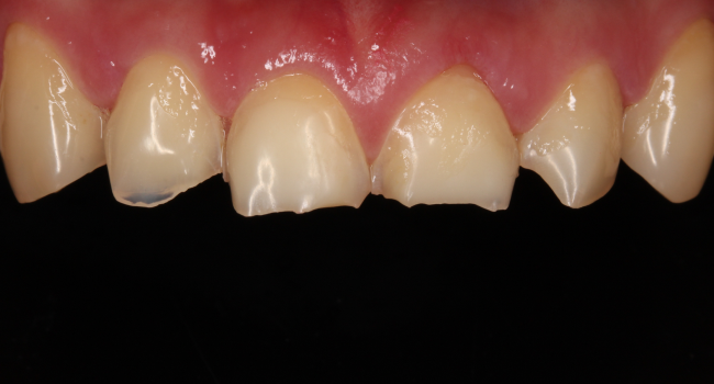
MINISH Veneers offer a seamless, permanent solution for restoring teeth and creating perfect smiles without the need for tooth shaving or removal.
They are applicable for any kind of dental issue, including previously treated teeth and molars. MINISH is able to provide refined treatment in just one day.
MINISH Veneers are not simply an option for dental restoration.
MINISH Veneers are the ultimate dental solution.

See the MINISH Process

How Are MINISH Veneers Different From Porcelain?


Do You Need MINISH Veneers?
MINISH veneers offer a revolutionary solution for a broad spectrum of dental concerns, making them suitable for individuals looking for cosmetic improvements without sacrificing their dental health.

Gapped Teeth

Misaligned Teeth

Discoloured Teeth

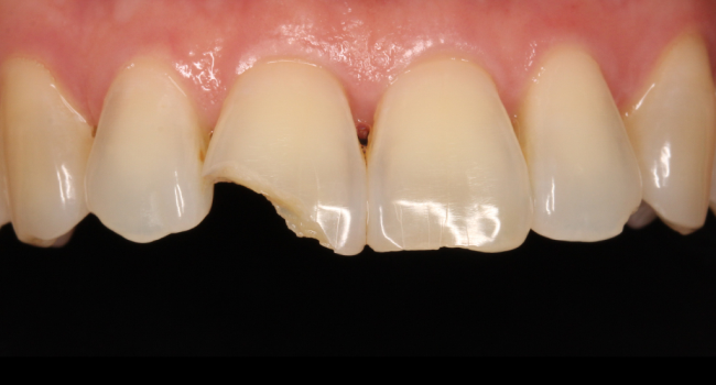
Damaged Teeth

Shaved Teeth

Missing Teeth

Long or Short Teeth

Damaged Molar Teeth

Why Choose MINISH Veneers?
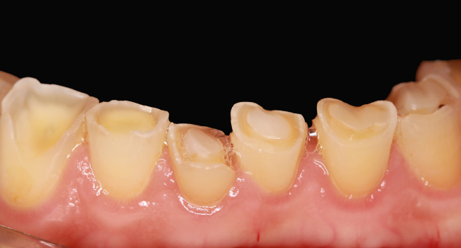
No Teeth Shaving Required
The essence of dental shaping at MINISH lies in preserving as much of the tooth as possible while minimizing removal. The application of MINISH Veneers involves almost no removal of tooth material, refining the tooth enamel to less than 0.2mm and attaching a prosthetic, prioritizing functional treatment while beautifying the teeth.

Industry-Leading Veneer Thinness
The precision of the teeth produced in our laboratory is of utmost importance because less precise work may necessitate more extensive shaving of teeth. MINISH Veneers are made with breakthrough technology that provides industry-leading thinness. This allows for the veneer to be applied with less alteration to the original tooth and less adhesive required to keep the veneer in place.

Custom Handcrafted MINISH Veneers for All Cases
Utilizing cutting-edge technology, an extensive range of equipment, a dedicated team, and 3D printing techniques, we create MINISH veneers to match the uniqueness of each individual tooth.
Precisely Handcrafted for Each Patient
MINISH Dental Hospital doesn’t adhere to a one-size-fits-all design; instead, we create 1:1 custom teeth based on the natural shape of the client’s own teeth, ensuring a natural and aesthetically pleasing appearance that meets the satisfaction of not looking artificial. Crucial to achieving satisfactory results is the communication between the dental technician designing the teeth and the client. To this end, MINISH Dental Hospital has long operated its own in-house laboratory to facilitate immediate modifications if needed after production. Staffed by technicians with an average of over 15 years of experience, MINISH Dental Hospital is committed to producing highly precise work, embodying our dedication to excellence in dental care.
How Are MINISH Veneers Made?

1
3D scan of the patient’s teeth and gums.

2
Design by professional dental technician.

3
Initial production with an error-free milling machine.

4
Model production using a 3D printer.

5
Final production by professional dental technician.
Types of MINISH Veneers

DUAL VENEERS
Ideal for treating extensive damage to the front teeth, the MINISH Dual Veneers ensure strong and aesthetically pleasing restoration for your smile’s forefront.

PINK MINISH VENEERS
Designed for cases where both the front teeth and gums are affected, MINISH Pink Veneers provide a harmonious integration and restoration of dental health and aesthetics.
When deciding on veneers, it’s important to choose a type suited to your specific dental needs. Different types of veneers can address a range of symptoms, from aesthetic concerns to functional issues across various areas of the mouth. The range of veneers available here at MINISH aim to address all types of dental concerns.
MINISH Dual Veneers
Dual Veneers provide comprehensive restoration for front teeth with extensive damage by covering both the labial (front) and lingual (back) surfaces for complete protection and reinforcement. While traditional crowns have long been used for widespread anterior tooth damage—requiring at least 0.5–0.7 mm of shaving to create space for the prosthetic—the Dual MINISH solution offers the same full-surface coverage without removing valuable tooth structure, effectively safeguarding and strengthening compromised front teeth.
MINISH Pink Veneers
The Pink Veneers (Pink MINISH) solution is a versatile, innovative treatment designed to restore both the appearance and function of the front teeth while also addressing gum concerns such as recession caused by aging, trauma, or periodontal issues. By repairing damaged teeth, covering exposed roots, and correcting the elongated look created by receding gums, it provides a balanced, harmonious, and aesthetically pleasing smile.
MINISH Molar Veneers
When extensive molar damage occurs, crowns are often recommended, but they can require unnecessary tooth reduction and may negatively affect gum health. At MINISH Dental Hospital, our Molar MINISH veneers offer a revolutionary alternative that minimizes tooth removal while preserving gum integrity. Specifically designed to repair and reinforce damaged molars, these durable veneers withstand significant chewing pressure, restoring both function and appearance so your back teeth continue to support a healthy, effective bite.
MINISH Bridge Veneers
The MINISH Bridge is an efficient, aesthetic alternative for front-tooth replacement—ideal for those unable to receive implants—offering quick enhancement in under a week while preserving existing teeth and avoiding the extensive alterations required by traditional bridges. As a superior choice to six-month implants, this solution works by securely bridging the gap left by missing teeth and anchoring the veneer to the adjacent natural teeth, providing both functional stability and an aesthetically seamless result.
For Long-Lasting Results, Choose MINISH



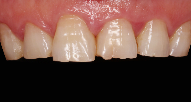
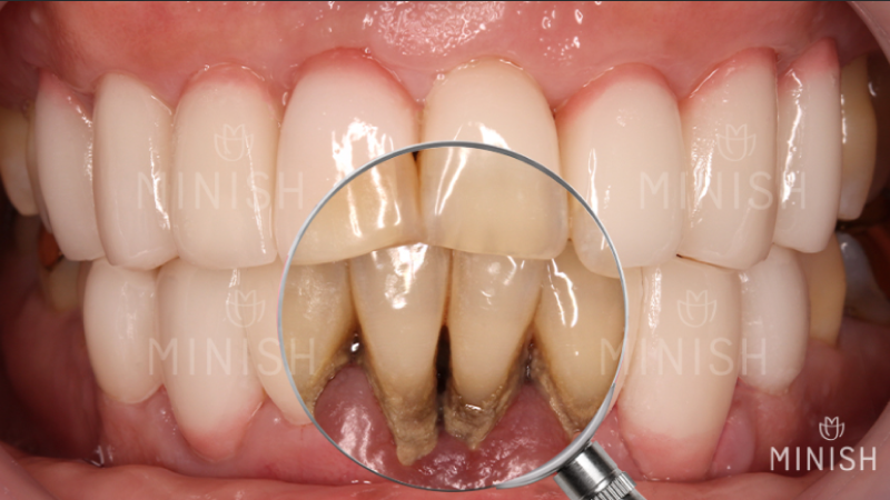
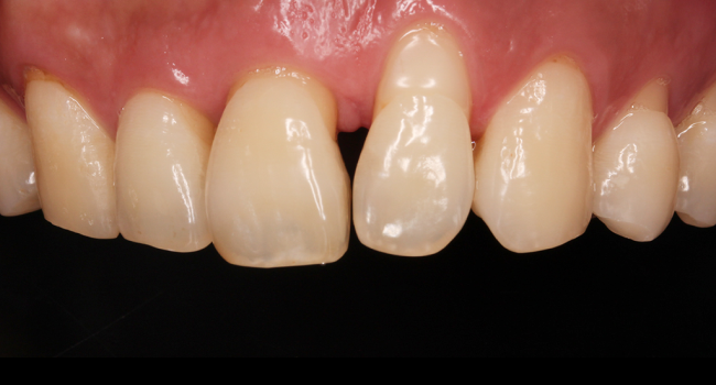
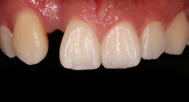
MINISH Veneers Before & After
Premium Service;
Limited Production
We produce only 70 units per day for one-day patients. MINISH veneers goes through three stages of precise handcrafting to produce only 70 units per day. To achieve this, we operate a strict appointment system and limit the number of reservations. Once you are in however, our process has been refined throughout the years to achieve excellence in customer comfort and convenience.

Premium Service;
Limited Production
We produce only 70 units per day for one-day patients. MINISH veneers goes through three stages of precise handcrafting to produce only 70 units per day. To achieve this, we operate a strict appointment system and limit the number of reservations. Once you are in however, our process has been refined throughout the years to achieve excellence in customer comfort and convenience.
Cutting-Edge Materials and Technology
Materials: Just Like Natural Teeth
The material used for MINISH Blocks mimics the strength of natural teeth. Using stronger materials makes veneers less likely to break, but they can damage the treated tooth’s ligament or root, and continuously impact the opposing tooth—eventually causing it to deteriorate. MINISH Blocks are made of a material most similar to natural teeth, exclusively produced and supplied by VITA company in Germany. These blocks are made of ceramic and possess properties closely resembling those of natural teeth, including color, texture, biocompatibility, and light diffusion. This ensures an appearance that is highly natural and similar to that of natural teeth, and strength 12.5% greater than natural teeth.

The Latest Technology and Equipment
At MINISH Dental Hospital, we spare no expense in investing in state-of-the-art equipment. As a dental clinic that insists on the latest technology, we readily invest in improvements to enhance the quality of care. We aim to avoid scenarios where the absence of equipment prevents the provision of quality care by equipping ourselves with the latest and most advanced technology.

Cerec MC XL Milling Machine
A milling machine is a small cutting machine that uses a CAD/CAM system. The Cerec MC XL milling machine is the most expensive milling machine currently available, capable of fast and precise processing. We have a total of 9 of these in the MINISH Lab.

Primescan 3D Scanner
Unlike before, Primescan can send digital data directly to the MINISH Lab design computers. As the latest oral 3D scanner, among the existing scanners, it is the fastest and most accurate. The Primescan scanner is able to precisely scans even the areas of the teeth that are difficult to access.

3D Printer
We utilize various different types of 3D printers here at MINISH, such as Cara Print, Zenith D, and Cubicon Style 210D. Cara Print is the fastest and most accurate dental 3D printer currently available to create oral models.

Porcelain Furnace
Porcelain Furnaces are used in the manufacturing of metal-ceramic and all-ceramic restorations for use in dentistry, such as veneers, crowns, and bridges. They are used for sintering (the process of shaping) and glazing, which reproduces prosthetics with a shape and shine similar to natural teeth.
MINISH Veneers; As Unique As Fingerprints

Guaranteed Safety and Durability

Natural Teeth
400Mpa
MINISH Veneers + Natural Teeth
450Mpa
Improperly constructed prosthetics are prone to fracture. In particular, molars experience three times the chewing force of front teeth, making them prone to fracture if not properly maintained. Our advanced ultra-precision technology here at MINISH allow for thin yet precise prosthetics, enabling strong, durable restoration of not only front teeth but also molars, gums, and even lost teeth. We are also able to achieve a complete chemical bond between the MINISH Veneer and the tooth, becoming an integral part of it. This process prevents any gaps between the tooth and gum that could lead to bacterial invasion, weakening of the bond, and other issues. It eliminates the need for special care instructions, and with proper maintenance, the results can be almost permanent.
10 Years Warranty
Every customer who receives genuine MINISH is provided with an official MINISH box. By scanning the attached QR code on the certificate, customers can secure a warranty for MINISH veneers that lasts up to 10 years.

MINISH Veneers Serial Number
Each veneer has its own individual serial number, this certificate of authenticity guarantees 4 things below. Just like a luxury watch brand!





MINISH Veneers in One Day
The combination of our in-house laboratory and cutting-edge equipment has made it possible for treatments that previously required multiple visits to be completed in just one visit at MINISH Dental Hospital. This has made dental care more accessible for clients who are constrained by time, including those from other regions or countries. With a wealth of experience treating international patients, and a cumulative number of completed procedures excessing 100,000 – the highest in Asia – our treatment process has been tailored to also suit our international patients. We promise a seamless healthcare journey, integrating speed, comfort, and world-class standards.
8 Hours 15 Minutes, from Start to Smile
* One-day treatment may not be possible, depending on the case and the patient’s gum condition. Your final treatment plan will be decided on after a consultation with the doctor. The standard length of treatment is around 3 days.

In-House Veneers Design and Fabrication Lab
Our in-house lab on the 6th floor is where we design, fabricate, and refine all of our veneers. Here is where our team of designers and technicians use the most advanced technologies to craft your veneers. You can see and meet your technicians as they craft or wait in comfort in our lounge.



You-Centric Care at MINISH
An Entire Hospital Focused on You

Start Your New Smile Today
Start Your New Smile Today
Start Your New Smile Today
Frequently Asked Questions
What are MINISH Veneers?
MINISH veneers are meticulously crafted using exclusive ceramic blocks that closely resemble natural teeth in color, texture, biocompatibility, and light transmittance. They offer a seamless, permanent solution for restoring teeth and creating perfect smiles without the need for tooth shaving or removal. Applicable for various dental issues, including previously treated teeth and molars, MINISH provides refined treatment in just one day.
Who can benefit from MINISH Veneers?
MINISH veneers are suitable for individuals with discolored teeth, cavities, or extensive dental damage beyond traditional laminate capabilities. They are beneficial for patients facing unique dental challenges such as difficult-to-treat molars, gum recession, or those desiring to correct misalignments with minimal tooth removal. Additionally, they are ideal for patients aiming to avoid extensive tooth shaving and the invasiveness of bridges and implants, offering solutions like pink MINISH for gum recession, dual MINISH for large cavities, and MINISH bridges for missing teeth.
What makes MINISH Veneers special?
MINISH veneers stand out due to several factors:
- No Teeth Shaving Required: They involve almost no removal of tooth material, preserving natural tooth structure.
- Custom Handcrafted for All Cases: Utilizing cutting-edge technology and 3D printing techniques, each veneer is tailored to the individual’s tooth shape and damage extent.
- Latest Technology and Equipment: The use of state-of-the-art equipment ensures precision and quality.
- Guaranteed Safety and Durability: They achieve a complete chemical bond with the tooth, helping prevent gaps that could allow bacterial invasion.
- 10-Year Warranty: Each veneer comes with a certificate of authenticity and a 10-year warranty.
- One-Day Treatment Available: The in-house laboratory and advanced equipment allow treatments to be completed in just one visit.
How does the MINISH veneer process work?
The MINISH veneer process involves:
- First Examination and Consultation: Initial oral examination (X-ray, oral photography) to assess dental condition, followed by a thorough consultation.
- Second Examination and Consultation: Follow-up examination and discussion of desired outcomes, including precise oral diagnosis and veneer design consultation.
- Pre-veneer Gum Health Enhancement: Optional teeth scaling and gum contouring to prepare the gum line.
- Veneer Preparation Stage: Preparation of the tooth surface, 3D scanning for accurate custom fabrication, and final veneer design consultation.
- Veneer Bonding Stage: Design check, bonding of veneers to natural teeth, and bite/shape adjustment.
- Veneer Fitting Check: Smile line check, explanation of veneer care, and post-fitting photography to ensure satisfaction.
What is the cost of MINISH Veneers?
The cost of MINISH veneers varies based on the program selected:
- MINISH PREMIUM: 2,200,000 KRW per veneer, 10-year warranty, performed by Master of Minish Dentistry (30,000+ cases).
- MINISH PERFECT: 1,700,000 KRW per veneer, 7-year warranty, performed by Director of Minish Dentistry (10,000+ cases).
- MINISH BASIC: 1,400,000 KRW per veneer, 5-year warranty, performed by Chief of Minish Dentistry (1,000+ cases).
- MINISH SIMPLE: 1,100,000 KRW per veneer, 3-year warranty, performed by Member of Minish Dentistry (100+ cases).
Additional procedures like gum contouring surgery are available for 200,000 KRW.
How long does the MINISH veneer treatment take?
The combination of the in-house laboratory and cutting-edge equipment allows treatments that previously required multiple visits to be completed in just one visit at MINISH Dental Hospital. This streamlined approach enables patients to transform their smiles quickly, even if they are visiting from abroad.
Are MINISH Veneers durable?
Yes, MINISH veneers are designed for durability. They achieve a complete chemical bond with the tooth, becoming an integral part of it. This process helps prevent gaps between the tooth and gum that could lead to bacterial invasion and weakening of the bond. With proper maintenance, the results can be semi-permanent.
What technology is used in creating MINISH Veneers?
MINISH Dental Hospital utilizes state-of-the-art equipment, including:
- Dentsply Sirona Milling Machine: Capable of fast and precise processing.
- Primescan 3D Scanner: Provides accurate and fast oral scanning.
- 3D Printers: Used to create precise oral models.
- Porcelain Furnace: Used for sintering and glazing to reproduce prosthetics with a shape and shine similar to natural teeth.
This advanced technology ensures precision and quality in veneer creation.
Is there a warranty for MINISH Veneers?
Yes, every customer who receives genuine MINISH veneers is provided with an official MINISH box containing a certificate of authenticity. By scanning the attached QR code on the certificate, customers can secure a warranty for MINISH veneers that lasts up to 10 years, depending on the program selected.
How can I schedule a consultation for MINISH Veneers?
To schedule a consultation for MINISH veneers, you can book online through the MINISH Dental Hospital website. The process typically involves an initial online consultation where you may be requested to send photos of your teeth. A deposit is required to secure your appointment. For international patients, the hospital provides a seamless experience, including comprehensive online consultations and efficient scheduling to accommodate travel plans.













































































































